EXIT

온라인예약신청

항상 최선을 다하는 SNU가 되겠습니다

온라인예약은 병원콜센터 확인전화 후 예약이 정상완료됩니다.

발·발목통증

02.333.5151
GLOBAL

환자분들의 소중한 발을 위해
SNU 오늘도 한 발 다가섭니다
발 · ​발목골절당일수술(금식 8시간) Ankle Fracture

발목 골절이라고 다 같은 것이 아니기 때문에 상태에 맞는 치료가 필요합니다.   골절의 정도가 심하지 않은 경우에는 깁스로 고정을 하여 자연 유합을 시킬 수 있습니다.   골절 정도가 심한 경우에는 발목골절수술을 진행할 수 있습니다.  
골절 당일수술은 8시간 금식 후 내원 시 바로 수술 가능합니다. *물 & 커피 포함 일체 금식 및 금연*​

One step closer to your healing
SNU서울병원의 발목골절 치료​​​

발목 골절은 기존의 골절 부위를 잘 맞추고 고정하는 것이 매우 중요합니다.  특히 관절면을 잘 맞추는 것이 중요합니다. 
또한 골절 수술 이후의 빠른 재활이 전체적인 회복에도 중요합니다.  골절 초기 진단, 수술 그리고 재활까지 긴 시간이 소요되지만
수술 후의 원활한 활동을 위해 철저한 재활운동을 적극 권장합니다.

  • 무릎클리닉1
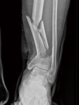
    골절된 발목​
  • 무릎클리닉2
    관혈적 정복술 및 내고정 수술​
  • 무릎클리닉2
    수술 후 유합된 발목​

*환자의 동의를 받은 SNU서울병원의 소중한 자료입니다.​

※주의사항 : 수술 및 시술 후 국소감염, 부분출혈 및 일시적 신경마비와 같은 부작용이 드물게 발생할 수 있어 본 수술 및 시술 시행시 사전검사 및 의료진과의 전문상담이 필요합니다.​

발목골절의 주요 원인 The main cause

운동을 하는 사람은 격렬한 운동 중 발을 다치거나 넘어지면 발목이 골절될 가능성이 있습니다.
발목골절이란 발목의 뼈에 금이 가거나 부러지는 증상을 말합니다.
특히 골다공증이 심한 중년 이상의 여성분들은 발목을 약간만 삐끗해도 염좌 대신 골절이 일어날 수 있습니다.

  • 외상에 의해 골절된 경우
  • 발을 심하게 접질렸을 경우
발목골절의 주요 증상 Main symptoms
  • 발목 사진1

    발을 땅에 디디기 어려울 정도로
    통증이 있다.​​

  • 발목 사진1

    심한 부종, 멍​

  • 발목 사진1

    골절로 인한 발목 흔들림​​​

발목골절의 진단 Disease diagnosis
문진/내진/촉진

문진/내진/촉진

정확한 진단과 진찰을 통해서 상태에 맞는 치료법을 적용시켜야 합니다.
좀 더 확실한 진단을 위해서는 MRI검사와 관절내시경을 진행해야 합니다

MRI검사

MRI검사

X-ray에서 볼 수 없는 근골격계 및 신경혈관계통의 연부 조직을 검사할 수 있습니다. 근육, 인대, 연골을 정확하게 검사할 수 있습니다.

X-ray

X-ray

X선을 이용하여 조영제가 기구 등을 사용하지 않고 인체를 촬영하는 것입니다. 방사선을 인체에 투과하여 나타는 음영의 차이를 이용해 진단하는 검사로 뼈를 진단할 수 있습니다.

SNU서울병원만의 특별함
SNUSEOULHOSPITAL

6년간 서울대학교병원, 서울아산병원교수로서 전국 난치성 족부질환 환자를 치료하였으며 2019년까지 총 3,753례의 족부 수술경험을 가진 족부 전문의가 진료부터 수술까지 족부 환자를 책임집니다.

SNU서울병원만의 특별함
SNUSEOULHOSPITAL

5년간 서울대학교병원, 명지병원 족부·족관절 교수로서 다수 임상경험과 노하우를 바탕으로 진단에 맞게 치료합니다. 또한, 미국 DUKE대학병원 의료연수와 다년간 국내·외 학술논문 및 연구 발표 그리고 각종 수술기구 특허, 교과서 집필 등을 바탕으로 족부 환자의 건강을 책임지고 있습니다. ​

SNU서울병원만의 특별함
SNUSEOULHOSPITAL

가톨릭대학교 서울성모병원에서의 오랜 경험과 노하우를 바탕으로 정확한 진단과 환자 증상에 맞는 적절한 치료를 진행하며 다년간의 임상경험 및 국내·외 학술논문 발표 업적을 바탕으로 족부 환자를 책임지고 있습니다.

SNU서울병원만의 특별함
SNUSEOULHOSPITAL

한양대학교병원에서 진료경험과 수술 노하우를 바탕으로 국내·외 학술대회에 업적을 이룰 만큼 환자분 인생의 평생 발·발목 건강에 꼭 필요한 최선의 치료를 하겠다는 치료철학이 있습니다.

SNU서울병원만의 특별함
SNUSEOULHOSPITAL

6년간 서울대학교병원, 서울아산병원교수로서 전국 난치성 족부질환 환자를 치료하였으며 2019년까지 총 3,753례의 족부 수술경험을 가진 족부 전문의가 진료부터 수술까지 족부 환자를 책임집니다.

회복기간 부담해결 ‘간호·간병 통합 서비스’​
1:1전담케어개인별맞춤

SNU서울병원은 2020년 6월부터 전 병동 ‘간호·간병 통합 서비스’ 를 시행하고 있습니다.​ 간호사와 수간호사, 간호조무사, 간병도우미 등이 24시간 상주하며 보호자나 개인 고용 간병인 없이도 거동이 불편한 ​ 환자분들의 보호자 역할을 대신하고 치료는 물론 입원생활 전반에 걸쳐 필요한 모든 도움을 세심하게 제공합니다.​

  • 환자 24시간 간호
  • 입원부터 퇴원까지 전담간호사 상주
  • 1:1전담케어 개인별 맞춤 시스템​
  • 보호자 역할 및 세심한 도움 제공​
  • 회복기간 부담을 최소화​
  • 건강보험 적용으로 간병비 부담 절감​
최첨단 운동재활치료 시설
전문 운동재활 치료사 포진
SNU
스포츠재활센터

수술 후 단순 물리치료가 아닌
1:1집중 재활치료를 병행하여
빠른 일상생활 복귀를 할 수 있도록
적극적으로 스포츠재활센터를 운영하고 있습니다.

논문 및 학술활동 Thesis and academic activities
더보기
발·발목 클리닉 의료진 소개 Foot & Ankle Center Doctors
  • 이동오원장

    발·발목 클리닉

    전공 및 연구분야
    발목인대 손상, 발목연골손상, 아킬레스건파열,아킬레스건염
    무지외반증, 족저근막염, 소아평발, 평발, 지간 신경종, 부주상골, 당뇨발,말초신경염, 발골절
    발목관절염, 발목 인공관절, 발목 고정술, 발목 교정술(SMO),발목골절
    학력
    서울대학교 의과대학 학사
    서울대학교 의과대학 대학원 석사
    서울대학교 의과대학 대학원 박사
    의료진·전문분야 시간
    이동오 원장정형외과/발·발목 오전 수술 진료 진료 진료 진료 격주(문의)
    오후 진료 진료 수술 수술 수술
  • 유태욱원장

    발·발목 클리닉

    전공 및 연구분야
    발목인대 손상, 발목연골손상, 아킬레스건파열,아킬레스건염​
    무지외반증, 족저근막염, 소아평발, 평발, 지간 신경종, 부주상골, 말초신경염, 발골절​
    발목관절염, 발목 인공관절, 발목 고정술, 발목 교정술(SMO),발목골절(당일수술)​
    학력
    충남대학교 의과대학 졸업
    의료진·전문분야 시간
    유태욱 원장정형외과/발·발목 오전 진료 진료 수술 수술 진료 격주(문의)
    오후 수술 진료 진료 진료 수술
  • 강태병원장

    발·발목 클리닉

    전공 및 연구분야
    발목인대 손상, 발목연골손상, 아킬레스건파열,아킬레스건염
    무지외반증, 족저근막염, 소아평발, 평발, 지간 신경종, 부주상골, 당뇨발,말초신경염, 발골절
    발목관절염, 발목 인공관절, 발목 고정술, 발목 교정술(SMO),발목골절
    학력
    한양대학교 의과대학 의학과 학사
    한양대학교병원 수련의
    한양대학교병원 정형외과 전공의
    한양대학교병원 정형외과 족부족관절 전임의
    의료진·전문분야 시간
    강태병 원장정형외과/발·발목 오전 진료 수술 진료 진료 진료 격주(문의)
    오후 수술 진료 수술 수술 진료
  • 서상교원장

    발·발목 클리닉

    전공 및 연구분야
    발목인대 손상, 발목연골손상, 아킬레스건파열,아킬레스건염
    무지외반증, 족저근막염, 소아평발, 평발, 지간 신경종, 부주상골, 당뇨발,말초신경염, 발골절
    발목관절염, 발목 인공관절, 발목 고정술, 발목 교정술(SMO),발목골절
    학력
    서울대학교 의과대학 의학과 학사
    서울대학교 의과대학 대학원 석사
    서울대학교 의과대학 대학원 박사 수료
    의료진·전문분야 시간
    서상교 원장정형외과/발·발목 오전 진료 수술 수술
    오후 수술 진료

온라인예약신청온라인예약은 병원콜센터 확인전화 후 예약이 정상완료됩니다.

고객센터(콜센터 운영시간)

02-333-5151

평 일
AM 08:00 ~ PM 09:00
토요일
AM 08:30 ~ PM 12:30
점심시간
PM 12:30 ~ PM 01:30

서울 강서구 발산역 9번 출구에서 200m