언제나 친절하게 상담해드리겠습니다고객센터:02-333-5151
항상 최선을 다하는 SNU가 되겠습니다
온라인예약은 병원콜센터 확인전화 후 예약이 정상완료됩니다.
언제나 친절하게 상담해드리겠습니다고객센터:02-333-5151



SNU서울병원은 오랜 경험과 노하우를 바탕으로 세밀한 검진과 정확한 진단을 통해 환자의 마음을 진심으로 공감하며 필요한 바를 명확히 알아내고 가장 올바른 해결책을 제시합니다.
One step closer to your healing
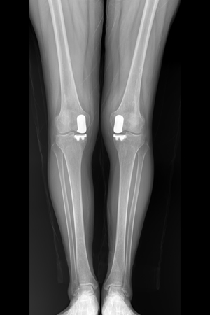
SNU서울병원의 ‘로봇인공관절 수술’은 최선의 무릎 치료를 위해 추진해 온 과감한 의료시설 투자 중 하나로 S사의 마코(MAKO)와 Z사의 로사(ROSA)를 두 대 보유하여 1:1 환자 맞춤용 인공관절로 더욱 정확하고 안전한 진료를 제공하고 있습니다.


로봇인공관절 수술은 의사의 수술 노하우와 로봇의 정확성이 결합된 최첨단 무릎 인공관절 수술입니다. 수술 전 CT 검사 후 로봇이 검사 결과를 3D 화하여 환자의 무릎 상태를 정확히 파악한 후, 세밀한 수술 계획을 제안합니다. 그리고 의사가 로봇암(Robot Arm)을 잡고 정밀하게 뼈를 절삭한 후 최적의 인공관절을 삽입하는 수술 방법입니다. 컴퓨터 프로그램으로 환자의 무릎 상태를 정확히 파악한 후 로봇수술 집도 인증을 받은 정형외과 전문의가 집도하므로 수술의 위험도가 적고 연부 조직의 손상을 최소화할 수 있는 장점이 있습니다.
뼈 변형이 심각하여
골 수정 삽입이 어려울 경우
무릎의 굴곡, 신전 등
빠른 운동 회복을 원할 경우
무릎 퇴행성관절염 전체 및 부분
인공관절 최적의 수술을 원하는 경우
과거 인공관절 환자 중
재치환술이 필요할 경우

CT 단층촬영,
X-Ray 검사

뼈 절삭 범위 및 최적의 인공관절 등 3D 수술 계획 생성

세밀한 Haptic Zone 뼈 절삭 및 인대 밸런스 조정

환자의 뼈 크기와 상태에 맞는 최적의 인공관절 삽입

진료/
검사

환부 Maker부착
환자의 뼈 정보 입력

로봇이 뼈 절삭 범위
3D화하여 수술 계획

전문의 확인 및
수술 준비

로봇 암 작동 및
로봇 수술 시작

입력된 정보로
세밀한 뼈 절삭

단면절삭 완료 후
최적의 인공관절 삽입

뼈 절삭 시 ‘햅틱 존(Haptic Zone, 절삭 범위를 알려주는 가상의 가이드라인)’을 벗어나면 로봇팔이 자동으로 작동을 멈춥니다. 따라서 연부 조직의 손상을 줄이고 꼭 필요한 부분만 절삭을 할 수 있게 됩니다.
수술 후 통증에 대한
두려움이 있는 환자
무릎의 굴곡, 신전 등 운동 회복
재활이 빠른것을 원하는 환자
인공관절의 장기적인
수명을 원하는 환자
재수술을 원하지
않는 환자
수술 전 철저히 계획된 절삭 범위로 수술 오차를 줄임
3D로 정확도를 높인 환자 맞춤형 수술
일반 수술보다 빠른 일상으로의 회복
과거 인공관절보다 사용 연한이 늘어나 오랜 사용 기대
| MAKO로봇 [미국 FDA승인] |
ROSA로봇 [미국 FDA승인] |
△사 로봇 | □사 로봇 | |
|---|---|---|---|---|
| 수술가능범위 | 반치환술 전치환술 |
전치환술 | 전치환술 | 전치환술 |
| 로봇타입 | semi otomatic(반자동) | passive(수동) | - | full automatic |
| 임플란트 | 최장수명의 SNU천의무봉 인공관절(Triathlon) | 세계최초 Precision Fit 1:1 성별맞춤 SNU프리미엄 인공관절(Persona) | - | - |
| 수술계획 | 3D CT | X-Ray | X-Ray | 3D CT |
| 조직손상 최소화 매뉴얼 | 수술용 절삭기가 주변의 신경이나 혈관을 다치지 않도록 안전범위 설정 | X | X | |
| 연부조직 균형체크 기능 | 수술중 실시간 균형체크 가능 | X | X | |
Q. 로봇인공관절 수술은 로봇이 스스로 수술을 하는 건가요?
아닙니다!
무릎 로봇인공관절 수술은 정형외과 전문의가 로봇의 가이드를 받아 로봇 팔을 잡고 직접 수술합니다.
쉽게 생각해서 자동차 자율주행을 생각하면 됩니다. 자동차 자율주행은 단계가 있습니다. 0단계는 사람이
직접 운전, 1단계는 속도 조절과 급정거 기능, 2단계 주행하면서 핸들을 잡고 있으면 거리를 맞추는
크루즈 컨트롤 기능, 3단계는 사람의 손을 떠나 자율주행하는 기능이 있습니다. 로봇인공관절 수술은
1~2단계 사이로 숙련된 의사가 잡고 컨트롤하는 것으로 미세한 부분들을 로봇이 조금 더 정확하고
덜 위험하게 도와주는 기계입니다. 즉, 의사와 로봇이 함께 수술한다고 생각하면 됩니다. 따라서 로봇의
정확성과 의사의 직관, 종합적 판단력을 함께하는 수술로 수술 중 실시간으로 발생하는 변수에 유연한 대처가 가능합니다.
Q. SNU서울병원이 보유한 마코(MAKO)와 로사(ROSA)는 믿을만한가요?
수술의 안전은 의학의 역사와 함께 해왔습니다. 로봇도 마찬가지입니다. 로봇도 수술의 안전을 보완하기 위해 발달해온 수술기기입니다. 로봇암(Robot Arm)을 사용하는데 사람보다 흔들림이 적어 계획된 범위만 안전하게 뼈 절삭을 실시하므로 신경과 혈관을 보호할 수 있습니다. 또한 SNU서울병원이 보유한 마코(MAKO)와 로사(ROSA) 로봇은 미국 FDA의 승인을 받은 로봇입니다. 이 두 로봇은 로봇에 부착된 센서가 작은 오차나 움직임이 감지되면 바로 작동을 멈추고 바로 의사가 수술을 통제할 수 있는 기능이 있어 안심하고 믿고 수술을 진행할 수 있습니다.
Q. 로봇인공관절 수술을 받으면 특히 좋은 환자군이 있나요?
일반인공관절 수술과 로봇인공관절 수술은 수술 경험이 많은 주치의가 두 인공관절 수술의 디테일의 차이에 따라 수술을 결정합니다. 다만 기존에 대퇴골, 무릎, 다리 등 골절로 수술 경험이 있어서 뼈 변형이 있었거나 오다리 등 뼈가 유독 휘어진 환자라면 골 수정 삽입이 어렵습니다. 또, 인공관절 반치환술을 해야 하는 환자도 관절의 일부분만 바꾸는 수술의 정확성이 무엇보다도 중요하므로 로봇수술이 더 유리합니다.




*환자의 동의를 받은 SNU서울병원의 소중한 자료입니다.




※주의사항 : 수술 및 시술 후 국소감염, 부분출혈 및 일시적 신경마비와 같은 부작용이 드물게 발생할 수 있어 본 수술 및 시술 시행시 사전검사 및 의료진과의 전문상담이 필요합니다.
14년간 서울대학교병원 교수로서
다수 무릎질환 환자를 치료해왔으며,
몇몇 병원에서 아무도 선뜻 나서지 않는 수술 후 통증이나
통증증후군 치료를 위해 연구하고 치료하고 있습니다.
SNU서울병원은 2020년 6월부터 전 병동 ‘간호·간병 통합 서비스’ 를 시행하고 있습니다. 간호사와 수간호사, 간호조무사, 간병도우미 등이 24시간 상주하며 보호자나 개인 고용 간병인 없이도 거동이 불편한 환자분들의 보호자 역할을 대신하고 치료는 물론 입원생활 전반에 걸쳐 필요한 모든 도움을 세심하게 제공합니다.
수술 후 단순 물리치료가 아닌
1:1집중 재활치료를 병행하여
빠른 일상생활 복귀를 할 수 있도록
적극적으로 스포츠재활센터를 운영하고 있습니다.
SNU서울병원은 몸이 재산인 선수들의 곁에서
건강을 책임지며 선수들의 부상 예방 및 치료,
메디컬 체크, 경기력 향상에 힘쓰고 있습니다.
관절클리닉
| 시간 | 월 | 화 | 수 | 목 | 금 | 토 |
|---|---|---|---|---|---|---|
| 오전 | 수술 | 수술 | 진료 | 연구 | 연구 | |
| 오후 | 진료 | 수술 | 연구 | 연구 | 연구 |
관절클리닉
| 시간 | 월 | 화 | 수 | 목 | 금 | 토 |
|---|---|---|---|---|---|---|
| 오전 | 진료 | 수술 | 진료 | 수술 | 진료 | 격주(문의) |
| 오후 | 진료 | 수술 | 진료 | 수술 | 진료 |
관절클리닉
| 시간 | 월 | 화 | 수 | 목 | 금 | 토 |
|---|---|---|---|---|---|---|
| 오전 | 진료 | 진료 | 진료 | 수술 | 수술 | 격주(문의) |
| 오후 | 수술 | 진료 | 수술 | 진료 | 진료 |
관절클리닉
| 시간 | 월 | 화 | 수 | 목 | 금 | 토 |
|---|---|---|---|---|---|---|
| 오전 | 수술 | 연구 | 수술 | 진료 | 연구 | 격주(문의) |
| 오후 | 수술 | 진료 | 수술 | 연구 | 연구 |
관절클리닉
| 시간 | 월 | 화 | 수 | 목 | 금 | 토 |
|---|---|---|---|---|---|---|
| 오전 | 수술 | 수술 | 수술 | 진료 | 연구 | 격주(문의) |
| 오후 | 연구 | 수술 | 수술 | 연구 | 연구 |