언제나 친절하게 상담해드리겠습니다고객센터:02-333-5151
항상 최선을 다하는 SNU가 되겠습니다
온라인예약은 병원콜센터 확인전화 후 예약이 정상완료됩니다.
언제나 친절하게 상담해드리겠습니다고객센터:02-333-5151



SNU서울병원은 오랜 경험과 노하우를 바탕으로 세밀한 검진과 정확한 진단을 통해 환자의 마음을 진심으로 공감하며 필요한 바를 명확히 알아내고 가장 올바른 해결책을 제시합니다.
One step closer to your healing
인공관절 재치환술은 성공적인 인공관절 치환술 후 5년 이내, 10년 이상으로 크게 나눠집니다. 수술 후 2~3년 이내 감염이나 사고가 일어날 시 재수술을 하게 되며 수술 후 10년 이상 되었다면 인공관절이 닳고 많이 써서 불안정성이 생기고 염증이 생겨 인공관절 재치환술을 시행하게 됩니다. 인공관절 재치환술은 무릎 불안정성, 골절, 염증 등과 내과적 질환 문제도 발생되어 고난도 수술 기술을 요구하므로 인공관절 재치환술 경험이 풍부한 숙련된 전문의에 한해 시행될 수 있습니다.
인공관절 재치환술 선택의 여지가 없다!
인공관절 재치환술은 할까? 말까? 하며 정하는 수술이 아닙니다. 인공관절 치환술을 받은 환자가 어쩔 수 없는 사고, 골절, 인대 파열, 감염 등의 이유로 자신의 몸에 있는 인공관절에 무리가 발생하면 일상생활을 할 수 없기 때문에 선택의 여지없이 재수술을 받아야 합니다.
1번 수술로 20년 이상 사용 기대
입원기간 평균 2주 지향,
수술 후 2주내 보행 지향,
빠른 일상생활 지향
무수혈 지향
통증 최소화 지향
특히 이명철 명예원장은 대한정형외과학회 제67대 회장, 대한정형외과 스포츠의학회 제24대 회장, 대한슬관절학회 제27대 회장, 아시아 태평양 슬관절 관절경 스포츠학회(APKASS)제4대 회장 등을 역임했습니다.
또한 이상훈 대표원장은 풍부한 연구 실적으로 세계적 학술지 SCI에서 61편 이상의 논문과 국내 논문까지 총 83편 이상 연구활동으로 인정을 받았습니다.
이외에도 두 교수는 대한정형외과학회 학술본상, 학술 장려상도 수상한 경력이 있습니다. 또한 국내외 강의 및 전문의 교육 100회 이상 경험과 의과대학 학생들을 위한 교과서 집필진으로서도 활동하고 있습니다.
SNU서울병원의 수술실은 대학병원급 소독장비로 헤파필터, 라미나플로우로 미세먼지와 세균을 완벽히 차단하여 수술 중 발생할 수 있는 감염을 최소화하고 심장수술도 가능할 정도로 최우선, 최대 투자가 반영되었습니다. 그 외에도 멸균 처리된 수술복과 수술기구를 사용하므로 수술 후 감염에 대해 엄격히 관리하고 있습니다.
SNU서울병원의 ‘인공관절’은 한자 성별 맞춤형 인공관절로 남,여 각 환자의 고유한 해부학적 구조 차이를 설계 및 보완한 인공관절입니다. 기존 인공관절과는 차별화되어 좌/우 구별된 디자인으로 여러 사이즈를 보유하고 있으며 해부학적, 기능적으로도 우월합니다.
SNU서울병원은 수술 후 조기보행을 위해 운동재활치료를 실시합니다. 환자의 상태와 회복 속도에 따라 과학적, 의료적으로 입증된 치료방법으로 근골격 기능과 근력을 회복시킵니다. 빠른 재활치료는 입원 기간을 단축하여 조기 퇴원을 기대할 수 있습니다.
인공관절 재치환술은 수술시간도 인공관절수술보다 오래 걸리며 환자의 체력적 소모도 큽니다. 때문에 수술 전, 수술 중, 수술 후에 고려해야 할 사항이 많고 만성질환을 앓는 환자분들도 대다수이므로 무엇보다 의료진들과의 협진 시스템도 중요한 사항입니다. SNU서울병원은 정형외과 외에도 신경외과, 마취통증의학과, 가정의학과, 영상의학과 등 전문의의 협진 시스템이 체계적으로 구축되어 환자의 상태에 즉각 대응이 가능합니다.
세계최초! 환자의 뼈 크기와 남/녀 뼈의 모양을 해부학적 환자 맞춤으로 2mm 간격의 좌/우/Standard/Narrow 각각 12개 사이즈로 총 48개 환자맞춤 사이즈를 보유하여 수준 높은 정밀함을 선보입니다.
최대155도 까지 관절 굴곡으로 좌식생활에 적합한 한국형 인공관절로서 커버력 UP!
SNU서울병원의 2無(무수혈,무통증) 및 수술 후 SNU서울병원의 체계적인 재활 치료로 만족스러운 보행 결과를 보이는 SNU정밀형 환자 성별 맞춤 인공관절 수술
수술 후 O다리 변형 회복 및 독립적인 일상생활 가능한
안정성UP! 기능성UP! SNU정밀형 환자 성별 맞춤 인공관절 수술
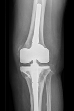
타 병원에서 인공관절 수술한 환자
골절사고로 인공관절 탈구
이상훈 대표원장에게 인공관절 재치환술 받은 후 관절기능 복원
3년전 타병원에서 인공관절 수술 후 합병증,마모 발생
이상훈 대표원장에게 인공관절 재치환술 받은 후 관절기능 복원
타병원에서 인공관절 수술 후 낙상으로 인해 인공관절 수술을 했던 오른쪽 다리가 어긋나며 빠짐
타병원에서 인공관절 수술 후 낙상으로 인해 인공관절 수술을 했던 오른쪽 다리가 어긋나며 빠짐
이상훈 대표원장에게 인공관절 재치환술 받은 후 관절기능 복원
타병원 인공관절 수술 후 인대 파열로 인해 인공관절 수술을 받았던 오른쪽 다리가 틀어짐
이상훈 대표원장에게 인공관절 재치환술 받은 후 관절기능 복원
이상훈 대표원장에게 인공관절 재치환술 받은 후 관절기능 복원
*환자의 동의를 받은 SNU서울병원의 소중한 자료입니다.
Q. 인공관절 재치환술 후 처음 인공관절만큼 무리 없이 사용할 수 있나요?
인공관절 재치환술 후 첫 인공관절 수술처럼
무릎관절 통증이 완화되어 2주내에 보행이 가능합니다.
인공관절 수명도 첫 번째 인공관절 수술만큼 오래 사용할 수 있습니다.
Q. 인공관절 재치환술 후 언제부터 일상생활이 가능할까요?
수술 후 약 1~2일은 서있기, 화장실 사용이 가능하며 보행기를 사용하여
걷기는 수술 후 약 4일까지 가능합니다. 또한 본원에서는 재활치료를 진행함으로써
수술 후 약 1개월이 지나면 일상생활이 가능합니다.
Q. 인공관절 재치환술 후 뻗정다리가 될 수도 있나요?
모든 정형외과 수술 후에는 재활치료에 달려있습니다.
본원에서는 수술 후 입원 기간 동안 무릎을 구부리는 재활운동을 교육함으로써
수술후 재발을 방지하고 있습니다.




※주의사항 : 수술 및 시술 후 국소감염, 부분출혈 및 일시적 신경마비와 같은 부작용이 드물게 발생할 수 있어 본 수술 및 시술 시행시 사전검사 및 의료진과의 전문상담이 필요합니다.
14년간 서울대학교병원 교수로서
다수 무릎질환 환자를 치료해왔으며,
몇몇 병원에서 아무도 선뜻 나서지 않는 수술 후 통증이나
통증증후군 치료를 위해 연구하고 치료하고 있습니다.
SNU서울병원은 2020년 6월부터 전 병동 ‘간호·간병 통합 서비스’ 를 시행하고 있습니다. 간호사와 수간호사, 간호조무사, 간병도우미 등이 24시간 상주하며 보호자나 개인 고용 간병인 없이도 거동이 불편한 환자분들의 보호자 역할을 대신하고 치료는 물론 입원생활 전반에 걸쳐 필요한 모든 도움을 세심하게 제공합니다.
수술 후 단순 물리치료가 아닌
1:1집중 재활치료를 병행하여
빠른 일상생활 복귀를 할 수 있도록
적극적으로 스포츠재활센터를 운영하고 있습니다.
SNU서울병원은 대한컬링연맹 국가대표 지정병원,
LG트윈스 프로야구 팀 닥터, 2021 FC서울 프로축구팀
공식 협력병원으로서 몸이 재산인 선수들의 곁에서
건강을 책임지며 선수들의 부상 예방 및 치료, 컨디션체크,
경기력 향상에 힘쓰고 있습니다.
관절클리닉
| 시간 | 월 | 화 | 수 | 목 | 금 | 토 |
|---|---|---|---|---|---|---|
| 오전 | 수술 | 수술 | 진료 | 연구 | 연구 | |
| 오후 | 진료 | 수술 | 연구 | 연구 | 연구 |
관절클리닉
| 시간 | 월 | 화 | 수 | 목 | 금 | 토 |
|---|---|---|---|---|---|---|
| 오전 | 진료 | 수술 | 진료 | 수술 | 진료 | 격주(문의) |
| 오후 | 진료 | 수술 | 진료 | 수술 | 진료 |
관절클리닉
| 시간 | 월 | 화 | 수 | 목 | 금 | 토 |
|---|---|---|---|---|---|---|
| 오전 | 진료 | 진료 | 진료 | 수술 | 수술 | 격주(문의) |
| 오후 | 수술 | 진료 | 수술 | 진료 | 진료 |
관절클리닉
| 시간 | 월 | 화 | 수 | 목 | 금 | 토 |
|---|---|---|---|---|---|---|
| 오전 | 수술 | 연구 | 수술 | 진료 | 연구 | 격주(문의) |
| 오후 | 수술 | 진료 | 수술 | 연구 | 연구 |