항상 최선을 다하는 SNU가 되겠습니다
온라인예약은 병원콜센터 확인전화 후 예약이 정상완료됩니다.






마이크로 척추수술은 최소한의 상처만 내어 정상 조직을 최대한 보존하는 수술법으로 척추 또는 전신 마취 후에 허리에 적용하는 치료법입니다.
Treatment until the last pain




마이크로 척추수술은 최소한의 상처만 내어 정상 조직을 최대한 보존하는 수술법으로 척추 또는 전신 마취 후에 허리에 적용하는 치료법입니다.
Treatment until the last pain마이크로 척추수술은 추간판 탈출증의 수술적인 치료 방법으로 가장 보편적인 수술 방법입니다. 미세현미경을 통해 최소한의 상처만 내어 정상 조직을 최대한 보존하는 수술법입니다. 미세현미경을 이용해 수술 부위를 최대 15배 확대 해 탈출된 디스크, 인대를 제거하는 수술법 입니다.
좁아진 척추관과 탈출된 디스크
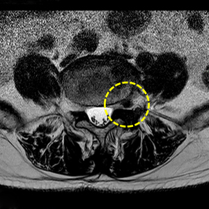
마이크로 척추수술 후 넓어진 척추관
탈출된 디스크
마이크로 척추수술 후 제거된 탈출디스크
1.5cm~3cm 정도 피부 절개 후 미세 현미경을 이용해 수술 부위를 확대해 신경을 누르는 뼈를 일부분 제거하고 탈출된 디스크, 인대를 제거하여 신경이 눌리지 않게 해주는 수술입니다.


고령자 및 만성환자 치료 가능
최소절개 지향
일상으로의 빠른 회복 지향
※주의사항 : 수술 및 시술 후 국소감염, 부분출혈 및 일시적 신경마비와 같은 부작용이 드물게 발생할 수 있어 본 수술 및 시술 시행시 사전검사 및 의료진과의 전문상담이 필요합니다.
前 강동성심병원에서의 신경외과 전문의로서 다수 임상경험과 노하우를 바탕으로 정확한 진단 그리고 필요한 바를 명확히 알아내고 가장 올바른 해결책을 제시합니다.
前 삼성서울병원에서의 신경외과, 디스크.협착증 등 다수의 수술적 치료 경험을 바탕으로 환자분들의 진단에 맞게 적절한 치료를 진행하며, 목.허리 환자를 책임지고 있습니다.
前 분당차병원 신경외과 외래교수, 前 가톨릭대학교 의과대학 외래부교수로서 쌓은 풍부한 임상 노하우를 바탕으로 정밀한 진단과 최적의 치료 계획을 제시합니다.
SNU서울병원은 2020년 6월부터 전 병동 ‘간호·간병 통합 서비스’ 를 시행하고 있습니다. 간호사와 수간호사, 간호조무사, 간병도우미 등이 24시간 상주하며 보호자나 개인 고용 간병인 없이도 거동이 불편한 환자분들의 보호자 역할을 대신하고 치료는 물론 입원생활 전반에 걸쳐 필요한 모든 도움을 세심하게 제공합니다.
수술 후 단순 물리치료가 아닌
1:1집중 재활치료를 병행하여
빠른 일상생활 복귀를 할 수 있도록
적극적으로 스포츠재활센터를 운영하고 있습니다.
척추클리닉
| 의료진·전문분야 | 시간 | 월 | 화 | 수 | 목 | 금 | 토 |
|---|---|---|---|---|---|---|---|
| 안흥식 원장척추외과/목·허리 | 오전 | 진료 | 진료 | 수술 | 수술 | 진료 | 격주(문의) |
| 오후 | 진료 | 수술 | 진료 | 진료 | 수술 |
척추클리닉
| 의료진·전문분야 | 시간 | 월 | 화 | 수 | 목 | 금 | 토 |
|---|---|---|---|---|---|---|---|
| 김승국 원장척추외과/목·허리 | 오전 | 수술 | 진료 | 진료 | 진료 | 수술 | 격주(문의) |
| 오후 | 진료 | 진료 | 수술 | 수술 | 진료 |
척추클리닉
| 의료진·전문분야 | 시간 | 월 | 화 | 수 | 목 | 금 | 토 |
|---|---|---|---|---|---|---|---|
| 이동현 원장척추외과/목·허리 | 오전 | 진료 | 수술 | 수술 | 진료 | 진료 | 격주(문의) |
| 오후 | 수술 | 진료 | 진료 | 진료 | 수술 |